Hsv Esophagitis Histology - Necrotizing Esophagitis An Overview Sciencedirect Topics / Esophagitis caused by herpes simplex virus (hsv) is frequently documented during periods of immunosuppression in patients infected with human immunodeficiency virus (hiv).

Hsv Esophagitis Histology - Necrotizing Esophagitis An Overview Sciencedirect Topics / Esophagitis caused by herpes simplex virus (hsv) is frequently documented during periods of immunosuppression in patients infected with human immunodeficiency virus (hiv).. Know the real cause of esophagitis & how to heal your digestive system naturally. #2 most common cause of infectious esophagitis after candida self limited in healthy patients; The exact prevalence has not been precisely described, but histologic changes consistent with he were demonstrated in up to 75% of fatal cases 45 . Nonspecific clinical features often delay diagnosis until acute liver failure with massive hepatic necrosis ensues. Herpes simplex virus is a common oral pathogen in immunocompetent patients.

May cause esophageal perforation or disseminate in immunocompromised patients may have secondary bacterial or fungal infections must rule out hsv infection as cause of esophageal ulcers, particularly from immunocompromised patients The low power pattern of a typical lesion is of an intraepidermal blister (figure 1). A predictive model was developed based on. Herpetic esophagitis (eh) caused by herpes simplex virus (hsv) usually affects immunocompromised patients, as a primary infection or as a reactivation of a previous infection. Herpes esophagitis is caused by hsv type 1.

Pathology Outlines Herpes Simplex Esophagitis
Pathology Outlines Herpes Simplex Esophagitis from www.pathologyoutlines.com
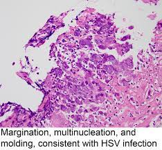
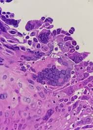
Herpes simplex virus multiple superficial ulcers are common (details from endoscopy) biopsy edge of ulcer — intranuclear inclusions found in squamous mucosa can see detached squamous cells as well as macrophages with viral incusions in ulcer slough inclusions are usually obvious Herpes esophagitis, however, is usually an opportunistic infection but can also occur in immunocompetent. The key feature is acantholysis with solitary keratinocytes within the blister cavity (figures 1,2,3). Ulcers can coalese and form black esophagus histology will show eosinophilic intranuclear inclusions (cowdry type a) and multinucleated squamous cells surrounding the ulcers on biopsy; It can be a consequence of viremia, reactivation of hsv, or even a direct spread of the virus to esophageal mucosa from the vagus nerve in immunocompromised patients. Herpes esophagitis is an inflammation of the esophagus due to herpes simplex virus. Herpetic esophagitis (eh) caused by herpes simplex virus (hsv) usually affects immunocompromised patients, as a primary infection or as a reactivation of a previous infection. Herpes esophagitis is a viral infection of the esophagus.

Herpes esophagitis is caused by hsv type 1.

#2 most common cause of infectious esophagitis after candida self limited in healthy patients; Abstract herpes simplex virus (hsv) is a common cause of infectious esophagitis. Esophagitis caused by herpes simplex virus (hsv) is frequently documented during periods of immunosuppression in patients infected with human immunodeficiency virus (hiv). Ultimate gut formula that heals your esophagus naturally with 4 powerful nutrients. It can occur in immunocompromised patients as well as healthy individuals over a wide age range, including children and young adults. Know the real cause of esophagitis & how to heal your digestive system naturally. The key feature is acantholysis with solitary keratinocytes within the blister cavity (figures 1,2,3). The ulcer base at the left shows loss of overlying squamous epithelium with only necrotic debris remaining. Human papillomavirus is detectable in barrett's esophagus and esophageal carcinoma but is unlikely to be of any etiologic significance.. J clin virol 50 (3): Following these findings, the patient received intravenous acyclovir. Herpes simplex virus multiple superficial ulcers are common (details from endoscopy) biopsy edge of ulcer — intranuclear inclusions found in squamous mucosa can see detached squamous cells as well as macrophages with viral incusions in ulcer slough inclusions are usually obvious Can perform cmv immunostain if no classic viral cytopathic effect seen on h&e.

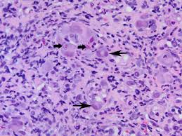
Yellow arrows point to possible viral inclusions. Herpes esophagitis is a viral infection of the esophagus. The key feature is acantholysis with solitary keratinocytes within the blister cavity (figures 1,2,3). Herpetic esophagitis (eh) caused by herpes simplex virus (hsv) usually affects immunocompromised patients, as a primary infection or as a reactivation of a previous infection. It typically occurs in during the third trimester of pregnancy or in immunocompromised patients.

Hsv Vs Cmv Esophagitis Histology Page 4 Line 17qq Com
Hsv Vs Cmv Esophagitis Histology Page 4 Line 17qq Com from img.17qq.com
The diagnosis of herpes simplex virus (hsv) esophagitis is made at endoscopy. Recommended in any case of esophageal ulceration as the diagnostic features can be easily obscured by the intense background inflammation. Herpes simplex virus multiple superficial ulcers are common (details from endoscopy) biopsy edge of ulcer — intranuclear inclusions found in squamous mucosa can see detached squamous cells as well as macrophages with viral incusions in ulcer slough inclusions are usually obvious The low power pattern of a typical lesion is of an intraepidermal blister (figure 1). May cause esophageal perforation or disseminate in immunocompromised patients may have secondary bacterial or fungal infections must rule out hsv infection as cause of esophageal ulcers, particularly from immunocompromised patients It's caused by the herpes simplex virus. The aim of this retrospective study is to identify comorbid and predisposing conditions and sequelae of hsv esophagitis in immunocompetent children. It can be a consequence of viraemia, reactivation of hsv, or even a direct spread of the virus to oesophageal mucosa from the vagus nerve in immunocompromised patients.

With hsv immunostain, numerous cells were positive (see next image).

Associated with antibiotic use in nonimmunocompromised; Herpetic esophagitis (eh) caused by herpes simplex virus (hsv) usually affects immunocompromised patients, as a primary infection or as a reactivation of a previous infection. We reviewed 16 cases of hsv esophagitis diagnosed from january 1982 to march 2016. Herpes esophagitis during disseminated neonatal hsv infection in neonates, the esophagus is frequently involved in the dissemination of hsv infection 14 . The findings were suspicious for herpes esophagitis; It is rarely present in immunocompetent hosts 1 . Human papillomavirus is detectable in barrett's esophagus and esophageal carcinoma but is unlikely to be of any etiologic significance.. May cause esophageal perforation or disseminate in immunocompromised patients may have secondary bacterial or fungal infections must rule out hsv infection as cause of esophageal ulcers, particularly from immunocompromised patients The exact prevalence has not been precisely described, but histologic changes consistent with he were demonstrated in up to 75% of fatal cases 45 . Abstract herpes simplex virus (hsv) is a common cause of infectious esophagitis. With hsv immunostain, numerous cells were positive (see next image). Herpes simplex virus is a common oral pathogen in immunocompetent patients. It can be a consequence of viraemia, reactivation of hsv, or even a direct spread of the virus to oesophageal mucosa from the vagus nerve in immunocompromised patients.

In the upper gi endoscopic view below, there are rounded, erythematous ulcerations of the lower esophagus. Single, large, shallow, linear ulcer ; This condition can also occur as a primary infection in individuals taking immunosuppressive drugs and it is therefore considered as an opportunistic disease [ 1 Human papillomavirus is detectable in barrett's esophagus and esophageal carcinoma but is unlikely to be of any etiologic significance.. Herpes esophagitis is a viral infection of the esophagus caused by herpes simplex virus (hsv).

Herpes Simplex Virus 2 Esophagitis In A Young Immunocompetent Adult
Herpes Simplex Virus 2 Esophagitis In A Young Immunocompetent Adult from static-01.hindawi.com
Five patients were immunosuppressed, 11 were immunocompetent and included in the study. It can be a consequence of viraemia, reactivation of hsv, or even a direct spread of the virus to oesophageal mucosa from the vagus nerve in immunocompromised patients. The findings were suspicious for herpes esophagitis; It can be a consequence of viremia, reactivation of hsv, or even a direct spread of the virus to esophageal mucosa from the vagus nerve in immunocompromised patients. Abstract herpes simplex virus (hsv) is a common cause of infectious esophagitis. They may not always be identifiable, especially if the biopsy is taken from the center of the ulcer instead of the margins. Single, large, shallow, linear ulcer ; Herpes esophagitis, however, is usually an opportunistic infection but can also occur in immunocompetent.

Herpes esophagitis during disseminated neonatal hsv infection in neonates, the esophagus is frequently involved in the dissemination of hsv infection 14 .

It can be a consequence of viremia, reactivation of hsv, or even a direct spread of the virus to esophageal mucosa from the vagus nerve in immunocompromised patients. Herpes esophagitis during disseminated neonatal hsv infection in neonates, the esophagus is frequently involved in the dissemination of hsv infection 14 . Herpes simplex virus is a common oral pathogen in immunocompetent patients. Keratinocytes will show nuclear changes in viral infection. It can occur in immunocompromised patients as well as healthy individuals over a wide age range, including children and young adults. Know the real cause of esophagitis & how to heal your digestive system naturally. Five patients were immunosuppressed, 11 were immunocompetent and included in the study. Yellow arrows point to possible viral inclusions. Abstract herpes simplex virus (hsv) is a common cause of infectious esophagitis. Recommended in any case of esophageal ulceration as the diagnostic features can be easily obscured by the intense background inflammation. The diagnosis of hsv and cmv esophagitis, and to develop a predictive model for differentiating cmv esophagitis from hsv esophagitis. Three (27%) had no other significant medical history. May cause esophageal perforation or disseminate in immunocompromised patients may have secondary bacterial or fungal infections must rule out hsv infection as cause of esophageal ulcers, particularly from immunocompromised patients

Herpes simplex virus is a common oral pathogen in immunocompetent patients hsv esophagitis. The low power pattern of a typical lesion is of an intraepidermal blister (figure 1).

Komentar